Dr. Sandeep Bhardwaj is well accomplished neurosurgeon with 14 years of surgical experience with super- specialization in field of brain and spine surgery. He has been widely acknowledged for his versatile surgical skills and patient centric approach.
He did his super-specialisation MCh Neurosurgery from SMS medical college and Hospital, Jaipur. SMS medical college, neurosurgery department is one of the largest neurosurgical catering hospital of north India. During his MCh, he gained vast surgical experience of variety of neurosurgical patients of brain and spine tumour, head injury and variety of spinal surgeries. SMS Hospital is one of the very few neurosurgical centres in India that is dedicated to both brain as well as Spine surgery. Working there he had been extensively exposed to spine surgery and developed special interest in endoscopic and minimal invasive spine surgery. He completed his MCh neurosurgery with flying colours. After completing his MCh he had worked in the reputed corporate hospitals like Max Superspeciality Hospital Saket, New Delhi, in post graduate department of neurosurgery with international standards of neurosurgical care, where he further gained vast experience in management of brain tumour patients using neuronavigation (the best imaging modality to localize the tumour intraoperatively) and use of intraoperative CT scan and intra-operative ultrasound.
read more
Dr. Sandeep Bhardwaj is dedicated to providing world-class surgical expertise for complex brain and spinal disorders. Combining state-of-the-art technology with a patient-first approach, we ensure that every individual receives the highest standard of neurological care and a path to recovery.
One of friends got head injury and had a blood clot in brain, we consulted Dr Sandeep and he advised for surgery. Surgery was successful and my friend has recovered fully. Many thanks to Dr Sandeep. He is very humble and most versatile doctor with great neurosurgical experience. I surely recommend him.
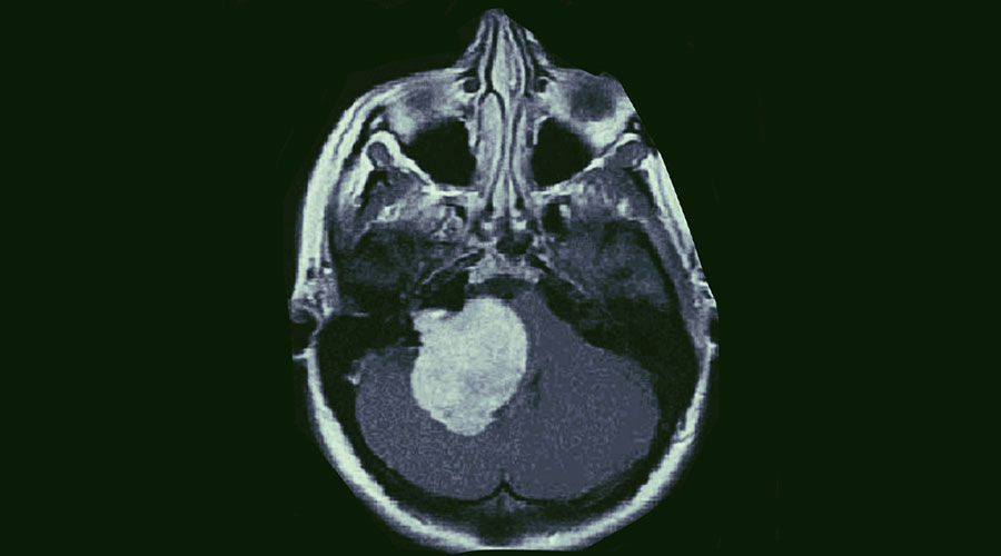
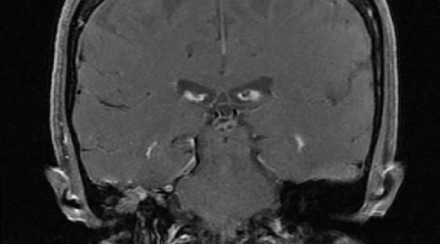
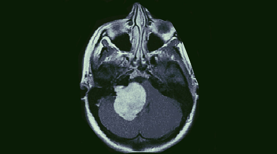
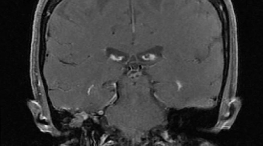
Very efficient neurosurgeon. My patient for brain tumor was operated, patient is doing fine. Thanks a lot
Very efficient and good neurosurgeon, treated one of my relatives for spine surgery, patient is doing quite well, thanks